Modal title
NHS
Private
Referral Centre
Dermaworks Cornwall
News & Offers
Reviews
Awards
Documents
Careers
Book
online
Treatments
Snoring & Sleep Apnoea
Consultations and Examinations
Restorations
Hygiene Treatment
Root Canal Treatment
Sedation
Tooth Whitening
Implants
Dentures
Alignment Solutions
Aftercare
Emergencies
Implant Placement
Periodontal Surgery
Sinus Lift
Immediate Replacement Dentures
Post Extraction
Post Operative IV Sedation
Fees
Private Fees
Care Plan
Finance
About
Us
About Us
Staff
Gallery
Case Studies
FAQs
Contact
01208 873116
enquiries@carriageworksdental.co.uk
11
Apr
2018
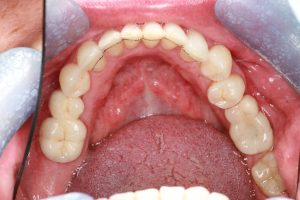
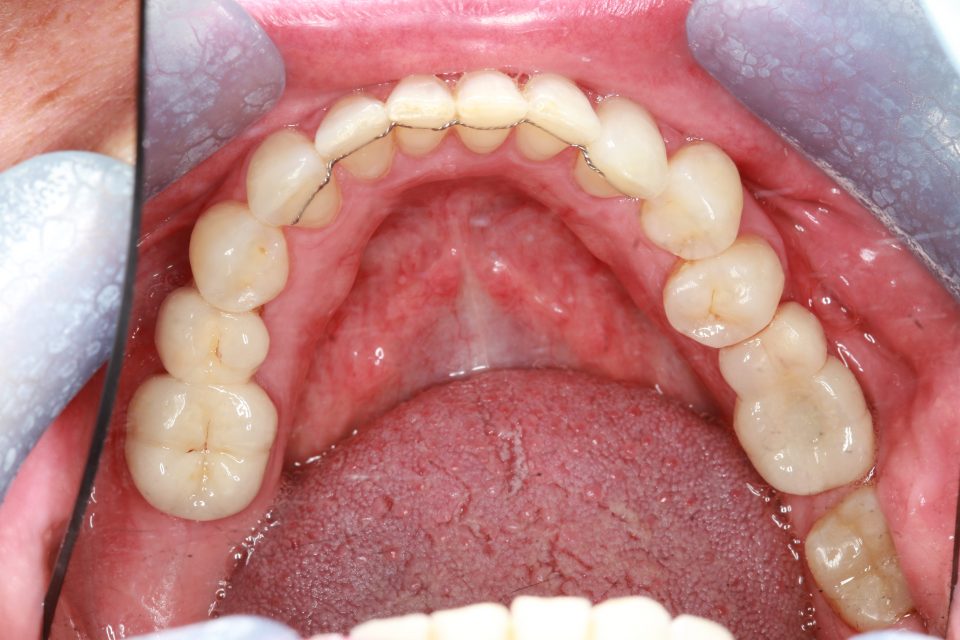
Lower arch